|
|
|
Egy új, MDP-alapú felületaktív oldat |
|
|
A ragasztásos helyreállító fogászat napi gyakorlata, legyen szó akár direkt, akár indirekt restaurációkról, ideális környezeti feltételeket igényel a kedvező prognózis elérése érdekében. A kompozit gyanta kötése képezi a direkt és indirekt restaurációk alapját, hiszen ez biztosítja a kapcsolatot a restauráció és a fog között. A fogászat egyre inkább a minimálisan invazív eljárások irányába fejlődik, ennek megfelelően a ragasztási határfelületek kezelése is ezt a filozófiát tükrözi, például önsavazó, többféle szubsztrátumra ható savas monomerek, mint a 10-metakriloiloxi-decildihidrogén-foszfát (10-MDP) alkalmazásával. Számos lehetőség van arra, hogy mind az intaglio (restauráció belső felszíne), mind az illeszkedő felületek különböző szennyező anyagokkal érintkezzenek, ami kedvezőtlenül befolyásolhatja a restauráció sikerességét. A figyelembe veendő szennyeződések közé tartozik többek között a kilégzésből származó nedvesség, a szájüregi környezeti páratartalom, a vér, a nyál, valamint mesterséges források, például az ideiglenes cement egy kétlépéses indirekt restauráció során. A nedvesség csak ellenőrzött módon megengedett, például a dentin impregnálása során a ragasztás előkészítésének részeként. Ha azonban túl nagy mennyiségben van jelen, az hátráltathatja a hibrid réteg kialakulását. A vér és a nyál elkerülhetetlen tényezők a helyreállító fogászatban, de legjobban kofferdam alkalmazásával szabályozhatók, amely az abszolút izoláció filozófiájának részét képezi. A preparált felszín szennyeződése mesterséges cementekkel vagy kenőanyagokkal is bekövetkezhet. A vérzéscsillapító szerek, például a ferri-szulfát és az alumínium-klorid oldhatatlan csapadékot képezhetnek a fog felszínén, amelyet a 33%-os ortofoszforsav csak részben képes eltávolítani. Továbbá, a fogelőkészítés során keletkező dentin- és zománcrészecskék lerakódása is problémát jelenthet. Ez a "smear layer" réteg visszamarad a dentin felszínén, gyakran eltömíti a dentincsatornákat, és akadályozza a hidroxilapatithoz és kollagén fibrillumokhoz való megfelelő kötődést. Összességében a ragasztásos kötés kompromittálódásának és legrosszabb esetben teljes kudarcának kockázata magas. Ez a tanulmány egy új megoldást mutat be az indirekt restaurációk és a fog intaglio felszíneinek tisztítására egy 10-MDP sóalapú oldattal, amely rugalmasan alkalmazható mind extraorálisan, mind intraorálisan.
|
|
|
Endémiás szennyeződések: nedvesség, vér és nyál |
|
|
A nedvesség kritikus szerepet játszik bizonyos modern univerzális ragasztók kötési szilárdságának maximalizálásában. Jelenléte lehetővé teszi a ragasztóoldatok mélyebb behatolását a dentincsatornákba és a kollagén fibrillumok közé, ezzel növelve a hibrid réteg ellenálló képességét. Az indirekt restauráció cementálása során mind a nyál-, mind a vérszennyeződés kedvezőtlenül hat a kötési erősségre, a legkárosabb hatást pedig minden esetben a vérszennyeződés okozza. Van Meerbeck és munkatársai beszámoltak az egylépéses univerzális ragasztók technikai érzékenységéről. Kutatásuk megállapította, hogy ezek a ragasztók víz jelenlétét igénylik az önsavazó reakcióhoz, de a kötési szilárdság maximalizálása érdekében a víz eltávolítása is szükséges az interfacialis felszínekről. Ennek ellenére ezek az interfészek félig áteresztőek, ami növeli a hibrid réteg hidrolitikus degradációjának kockázatát olyan ragasztóoldatokban, amelyek nem 2-hidroxi-etil-metakrilát-mentesek (HEMA-mentesek), mivel ez az anyag jobban vonzza a vizet. Periera és munkatársai különböző mértékű dentin nedvességtartalom hatását vizsgálták, különböző kontrollált változók (rövid vagy hosszú levegőfújás, nedves vagy száraz vattapálcák, mikroecsetek használata, szándékosan túlnedvesített felszín) mellett. Az összes vizsgálati csoport közül a „legnedvesebb” dentinfelület mutatta a legalacsonyabb nyírószilárdsági értékeket. A nyál- és vérszennyeződés egyértelműen negatívan befolyásolja a kötési szilárdságot, akár az adhezív felhordása előtt, akár utána következik be. A nyál esetében ez a csökkenés a nyál glikoproteinjeinek felszínre történő lerakódásával magyarázható, míg a vérben található makromolekulák, például a fibrinogén és a vérlemezkék gátolják a dentincsatornákhoz való hozzáférést, ezzel csökkentve a hatékony kötődést. A kutatások szerint a vérszennyeződés hatása következetesen károsabb, mint a nyálé. Általánosságban elmondható, hogy a smear layer-rel (dentinfelszíni réteg) érintkező dentin esetében a klórhexidin következetesen jobb kötési szilárdságot biztosított, mint más anyagok, például az etanol, az EDTA vagy az aloe vera. Olyan dentin esetében, amelyet korábban marattak és vérrel vagy nyállal szennyeződött, a legjobb nyírószilárdság-helyreállítást a 37,5%-os ortofoszforsav biztosította. Egy tanulmány kimutatta, hogy a nyállal szennyezett maratott dentin és önsavazó adhezívvel kezelt dentin nanomechanikai és nanodurvasági tulajdonságai a KATANA™ Cleaner alkalmazásával visszaállíthatók az eredeti kontrollértékekre. |
|
|
Szintetikus munkafolyamat-szennyeződések: fogkő, vérzéscsillapító szerek, gyökércsatorna-tömítők és ideiglenes cementek |
|
|
3. ábra A páciens frontális nézete a héjak rávetített képével. |
|
|
4. ábra Vezetett preparáció szilikon blokk segítségével. A választott “KATANA™ Zirconia” YML anyag minimum falvastagsága 0,4 mm. |
|
|
5. ábra Preparációt követően digitális lenyomat készült. |
|
|
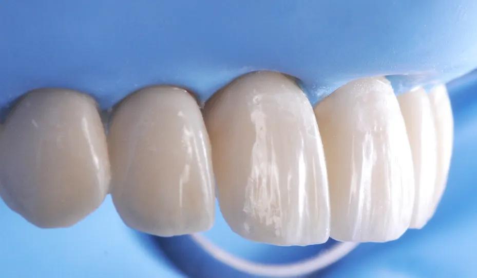
6. ábra “KATANA™ Zirconia” YML-ből készített monolitikus héjak a műanyag mintán a 7 órás végszinterezés befejeztével. |
|
|
7. ábra A mesterminta oldalnézete a hat egyéniesített héjjal – ehhez CERABIEN™ FC Paste Stain festékeket használtunk. |
|
|
8. ábra A héjak foghoz megtévesztésig hasonlító transzlucenciája a mintán is megfigyelhető. |
|
|
9. ábra Intraorális próba a PANAVIA™ V5 Try-in Paste két különböző színével: A2 a jobb oldalon és átlátszó a baloldalon. A fogorvos az A2-t választotta. |
|
|
10. ábra A beragasztott héjak lateralis nézete. A természetes felszín hozzájárul a restauráció hiteles megjelenéséhez. |
|
|
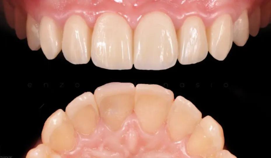
11. ábra A héjak beragasztva elölnézetben. |
|
|
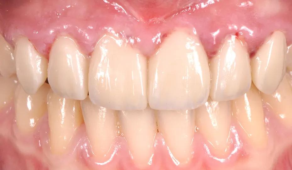
12. ábra A kezelés kimenetelét közvetlenül a kofferdam eltávolítása után láthatjuk a képen. |
|
|
VÉGSŐ HELYZET |
|
|
13. ábra A kezelés után két héttel a lágyszövet is regenerálódott. |
|
|
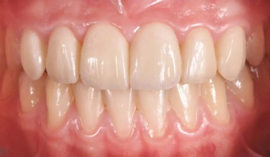
14. ábra 1. A gingiva egészséges, a restauráció optikailag nagyszerűen illeszkedik a rágófogakhoz is. |
|
|
Fogorvosok:
MDT DANIELE RONDONI |
DR. ENZO ATTANASIO |












